Złamania kostno-chrzęstne
Złamania kostno-chrzęstne kości skokowej są nazywane również jałową oddzielającą martwicą kostno-chrzęstną lub osteochondritis dissecans (OCD). Jest to choroba, której podłożem są zaburzenia ukrwienia bloczka kości skokowej, czyli części kości skokowej, pokrytej chrząstką stawową tworzącą staw skokowy. W wyniku zaburzenia ukrwienia z czasem dochodzi do oddzielenia fragmentu chrzęstnego, często wraz z odłamem kostnym. W nowszej terminologii mówi się również o ostrym lub przewlekłym OLT, czyli z języka angielskiego – osteochondral lesion of the talus.
Przyczyny
Przyczyną zaburzeń ukrwienia jest najczęściej uraz, np. skręcenie stawu skokowego, rzadziej seria mikrourazów. Inne przyczyny to defekty kostnienia i predyspozycje genetyczne. Najczęstsza lokalizacja złamań kostno-chrzęstnych to część przednio-boczna (40%) i tylno-przyśrodkowa (60%) bloczka kości skokowej. Uszkodzenia w części przedniobocznej są na ogół płytsze, w części tylno-przyśrodkowej głębsze. Złamanie kostno-chrzęstne może mieć różny stopień zaawansowania.
Podział Berndt i Harty
- Stopień 1 – mały obszar wgniecenia kości podchrzęstnej
- Stopień 2 – częściowe oddzielenie się fragmentu kostno-chrzęstnego
- Stopień 3 – całkowite oddzielenie się fragmentu kostno-chrzęstnego, bez jego przemieszczenia w stosunku do powierzchni stawowej
- Stopień 4 – powstanie wolnego ciała chrzęstno-kostnego
Objawy
Objawy często są niecharakterystyczne. W fazie ostrej przypominają te występujące przy skręceniu stawu skokowego – występuje obrzęk, ograniczenie ruchomości, a nawet przy współistnieniu urazu krwiak podskórny. W przypadkach przewlekłych najczęstszym objawem jest rozlany ból stawu skokowego, okresowo mogą występować obrzęki.
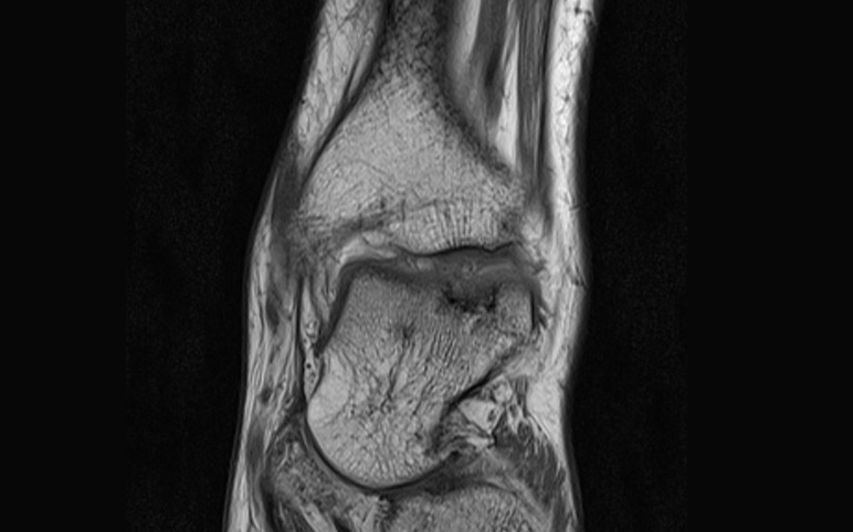
Rozpoznanie
Badanie manualne nie jest w stanie jednoznacznie określić przyczyny dolegliwości. Konieczne jest wykonanie prześwietlenia RTG w projekcji przednio-tylnej, bocznej i celowanej na więzozrost piszczelowo-strzałkowy, jednak często w badaniu RTG nie widać odchyleń od normy. W przypadku podejrzenia złamania kostno-chrzęstnego konieczne jest badanie tomografii komputerowej lub rezonansu magnetycznego. Oba te badania są pomocne w zaplanowaniu leczenia.
Leczenie
Wskazaniem do leczenia jest występowanie dolegliwości, ponieważ nie wykazano ryzyka przekształcenia się złamań kostno-chrzęstnych w chorobę zwyrodnieniową stawu. Leczenie OLT jest trudnym wyzwaniem dla lekarza prowadzącego. W przypadku zmiany ostrej, nieprzemieszczonej, wskazane jest unieruchomienie kończyny w opatrunku gipsowym przez okres kilku tygodni.
W innych przypadkach najczęściej stosuje się szeroki wachlarz zabiegów operacyjnych. Dobór metody zależy od czasu trwania zmiany, jej wielkości oraz lokalizacji. Często zabiegi są połączeniem różnych technik (klasycznych i atroskopowych) wraz z zastosowaniem nowoczesnych technologii (czynniki wzrostu, komórki macierzyste, hodowle tkankowe) lub biomateriałów (np. błony kolagenowe).
Zakres metod operacyjnych:
- Zespolenie oddzielonego fragmentu;
- Nawiercenie kości pod nieuszkodzoną chrząstką stawową;
- Wykonanie mikrozłamań;
- Oczyszczenie ubytku i wykonanie nawierceń;
- Zastosowanie przeszczepów kostnych;
- Wykonanie przeszczepu chrzęstno-kostnego;
- Wykonanie przeszczepu chondrocytów;
- Pokrycie ubytku błoną kolagenową;
- Wykonanie osteotomii kostki przyśrodkowej/bocznej;
- Pobranie przeszczepów autologicznej tkanki kostnej.

