Płaskostopie poprzeczne – korekcje
W przypadku leczenia płaskostopia poprzecznego ważne jest określenie wszystkich składowych deformacji. Należy pamiętać, że często płaskostopiu poprzecznemu objawowemu towarzyszy również obecność palucha koślawego oraz deformacji młotkowatej palców. Może również występować podwichnięcie lub zwichnięcie stawów śródstopno-palcowych. Ważne jest wykonanie korekcji wszystkich deformacji podczas jednego zabiegu operacyjnego, co wymaga dużego doświadczenia od lekarza operującego.
Rodzaje
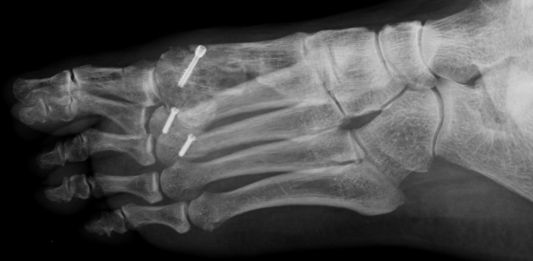
W zależności od rodzaju deformacji, stosuje się różne rodzaje osteotomii (przecięcia) kości śródstopia, co ma przywrócić obecność prawidłowego łuku poprzecznego stopy. Leczenie operacyjne płaskostopia poprzecznego można wykonać metodami klasycznymi. W tej grupie najpopularniejsze są osteotomie Weil. U pewnej grupy Pacjentów leczenie można też prowadzić metodami miniinwazyjnymi – tj. za pomocą niewielkich (0,5 cm) nacięć skóry. W tej grupie znajdują się między innymi osteotomie DMMO. Każda z podanych grup metod ma swoje wady i zalety, a ich odpowiedni dobór zależy od wiedzy i doświadczenia chirurga stopy.



