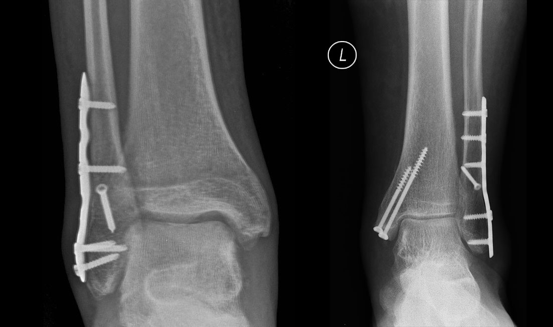
Złamanie kostek goleni (operacje z użyciem nowoczesnych tytanowych implantów)
Złamanie kostek goleni to dość powszechny uraz, a w zasadzie pełne spektrum urazów od najłagodniejszego złamania pojedynczej kostki (przyśrodkowej lub bocznej) aż do skomplikowanych urazów trójkostkowych z uszkodzeniem więzozrostu piszczelowo-strzałkowego włącznie. Znaczna większość złamań kostek goleni w dzisiejszych czasach wymaga leczenia operacyjnego. Tylko taki sposób postępowania daje najlepsze rezultaty i pozwala na przywrócenie optymalnej funkcji stawu skokowego. Zastosowanie płytek, wkrętów i innych specjalnych implantów najnowszej generacji, łącznie z odpowiednią techniką operacyjną i doświadczeniem w leczeniu tych urazów, pozwala do minimum skrócić okres unieruchomienia oraz przyspieszyć i zintensyfikować rehabilitację pooperacyjną. W leczeniu złamania kostek goleni, a przez to możliwej do uzyskania funkcji kończyny, kluczową rolę odgrywa jak najdokładniejsze odtworzenie powierzchni stawowej stawu skokowego i jak najszybsze podjęcie fachowej intensywnej rehabilitacji.

