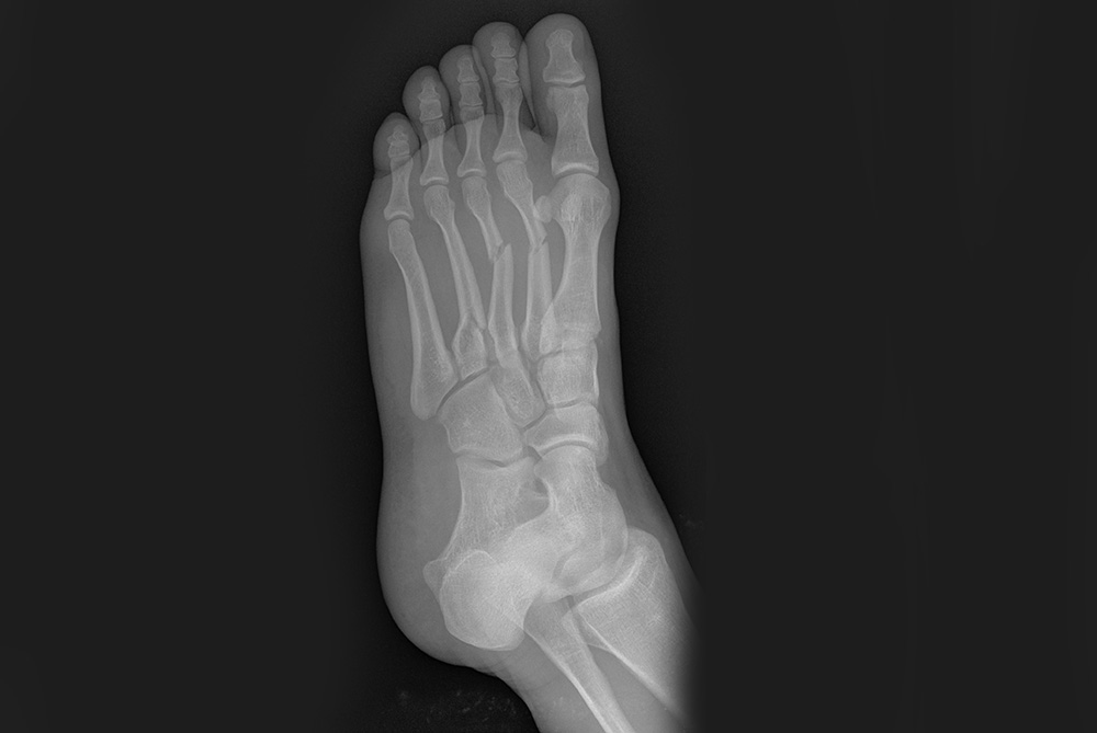
Złamanie kości śródstopia
Złamania kości śródstopia występują dość rzadko. Zazwyczaj są wynikiem urazu bezpośredniego, takiego jak upadek ciężkiego przedmiotu na stopę lub urazów w wypadkach komunikacyjnych. Mogą być również wynikiem kopnięcia stopą w twardy, ciężki przedmiot. Leczenie złamań kości śródstopia zależy od stopnia przemieszczenia odłamów oraz stanu okolicznych tkanek miękkich i uszkodzeń towarzyszących. Często złamania II, III oraz IV kości śródstopia są nieprzemieszczone, wtedy mogą być leczone unieruchomieniem kończyny w opatrunku gipsowym. Gorsza sytuacja jest ze złamaniami trzonu V kości śródstopia, które zazwyczaj wymagają operacyjnego nastawienia odłamów i ich zespolenia. Leczenia operacyjnego wymagają zazwyczaj również złamania kilku kości śródstopia. Złamania I kości śródstopia są wyjątkowo rzadkie i ich wystąpienie wymaga bardzo dużej energii urazu. Z reguły wymagają leczenia operacyjnego.
Specyficzne złamania kości śródstopia:
- Złamanie guzowatości V kości śródstopia – jest to złamanie awulsyjne, tzn. powstające w wyniku pociągnięcia przez ścięgno mięśnia strzałkowego krótkiego i przyczep pasma bocznego rozcięgna podeszwowego. Dochodzi do niego podczas skręcenia stawu skokowego. Aby ochronić staw, gwałtownie napinany jest mięsień strzałkowy krótki. Złamania guzowatości V kości śródstopia generalnie goją się szybko i bez powikłań. Leczy się je za pomocą krótkotrwałego unieruchomienia w opatrunku gipsowym. Wyjątkowo rzadko wymagają leczenia operacyjnego.
- Złamania zmęczeniowe – Innym specyficznym typem złamań w obrębie kości śródstopia są tzw. złamania zmęczeniowe (złamania marszowe) (patrz: złamania zmęczeniowe). Dochodzi do nich wskutek wielokrotnych niewielkich przeciążeń. W prześwietleniu RTG początkowo nie widać szczeliny złamania, dopiero po około 4-6 tygodniach występują nawarstwienia okostnej jako wyraz procesów naprawczych kości. Badaniem, w którym najszybciej widać zmiany jest scyntygrafia i rezonans magnetyczny. Zazwyczaj nie ma jednak potrzeby wykonywania tych badań i decyduje rozpoznanie na podstawie badania klinicznego. Złamania zmęczeniowe kości śródstopia goją się dobrze i zwykle w leczeniu wystarcza zastosowanie krótkotrwałego odciążenia przodostopia.
- Złamanie Jonesa – drugi typ złamania V kości śródstopia. Umiejscowione jest zaledwie ok 1,5-2 cm dalej niż złamanie guzowatości. Jednak przebieg tego złamania jest diametralnie inny – zrost kostny jest bardzo powolny, często występują jego zaburzenia. Często, pomimo długotrwałego unieruchomienia w opatrunku gipsowym, nie można uzyskać zrostu kostnego. Dlatego na ogół leczy się je operacyjnie.
- Złamania nasad bliższych kości śródstopia związane z uszkodzeniem stawu Lisfranca – są to bardzo poważne urazy spowodowane najczęściej poważnymi wypadkami (upadki z wysokości, urazy komunikacyjne). W przypadku stwierdzenia nawet niewielkich przemieszczeń w obrębie stawu Lisfranca konieczne jest leczenie operacyjne (patrz: Uszkodzenia stawu Lisfranca).



