Złamanie kości piętowej
Złamania kości piętowej najczęściej mają charakter zmiażdżeniowy. Dochodzi do nich w wyniku upadku z wysokości lub w wypadkach komunikacyjnych. Zwykle mają charakter wieloodłamowy, z uszkodzeniem powierzchni stawowej. Są one niesłychanie trudne w leczeniu.
Inne złamania kości piętowej są bardzo rzadkie. Są to złamania awulsyjne (wynikające z pociągnięcia przez ścięgna Achillesa, tzw. złamania typu “kaczego dzioba”), złamania zmęczeniowe, złamania wyrostka przedniego kości piętowej w wyniku urazu skrętnego.
Objawy
Po wypadku występuje obrzęk i silna bolesność okolicy pięty. Nierzadko można zaobserwować zniekształcenie okolicy pięty (jej poszerzenie lub nieprawidłowe ustawienie). Ze względu na duży obrzęk czasami tworzą się pęcherze naskórkowe.
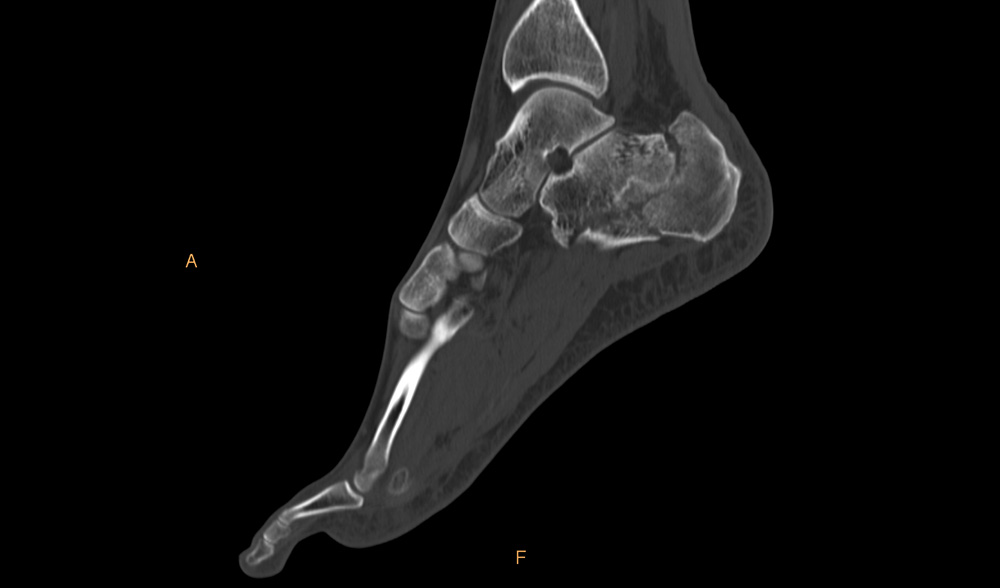
Rozpoznanie
W celu potwierdzenia złamania kości piętowej wykonywane jest badanie RTG. Obecnie obowiązującym badaniem w złamaniach kości piętowej jest tomografia komputerowa. Dopiero w tym badaniu można dokładnie określić charakter złamania – ilość odłamów, przebieg szczelin złamania, a także stopień przemieszczenia odłamów.
Leczenie
Jeśli u Pacjenta wystąpiło złamanie kości piętowej bez przemieszczenia, stosowane jest unieruchomienie w opatrunku gipsowym lub bucie ortopedycznym. Najczęściej złamania wyrostka przedniego mogą być również leczone zachowawczo. Większość złamań kości piętowej wymaga jednak leczenia operacyjnego.
Leczenie operacyjne złamań kości piętowych jest niezwykle trudne. Jeszcze w latach siedemdziesiątych XX wieku uważano, że leczenie operacyjne nie przynosi dobrych wyników i zalecano leczenie zachowawcze. Do niedawna jedynym leczeniem operacyjnym stosowanym w większości szpitali była próba nastawienia na “zamknięto” i przezskórna stabilizacja grotami Kirschnera. W ciągu ostatnich 20 lat rozwój implantów, a także technik obrazowania (tomografia komputerowa) oraz techniki operacyjnej sprawił, że obecnie coraz szerzej stosowane jest leczenie operacyjne na otwarto, tzn. z bezpośrednim dostępem do kości. W operacjach tego typu stosuje się najczęściej zespolenie specjalnymi płytkami, odpowiednio przystosowanymi do złamań kości piętowej.
W ostatnich latach rozwijane są również techniki miniinwazyjne. Ze względu na dość wysokie ryzyko powikłań związanych z gojeniem tkanek miękkich, jakie występuje przy operacjach “na otwarto”, próbuje sią nastawiać i zespalać kość piętową przy użyciu specjalnych narzędzi, wykonując jedynie niewielkie cięcia skórne. Wśród takich technik szczególnie popularny staje się specjalny gwóźdź do stabilizacji kości piętowej – Calcanail. Należy pamiętać, że pomimo niewątpliwych postępów leczenia operacyjnego złamań kości piętowych, wyniki końcowe niełatwo jest przewidzieć i nie zawsze są dobre. Szczególnie wysokie jest ryzyko powstania zmian zwyrodnieniowych w obrębie stawu skokowo-piętowego. Ponieważ są to operacje wyjątkowo trudne, powinny być przeprowadzane w wyspecjalizowanych ośrodkach.
Innym złamaniem, które wymaga prawie zawsze leczenia operacyjnego jest złamanie awulsyjne typu “kaczego dzioba”. W złamaniu tym tylno-górny fragment guza kości piętowej ulega przemieszczeniu ku górze. Takie złamanie wymaga szybkiego leczenia operacyjnego ze względu na naciąganie skóry przez przemieszczony fragment kostny i wysokie ryzyko powstania w tym miejscu martwicy skóry. W przypadku szybko wykonanej operacji wyniki leczenia tego typu złamania są zwykle dobre.

