Operacje uszkodzeń stawu Lisfranca
Uszkodzenia stawu Lisfranca są bardzo poważnymi urazami.
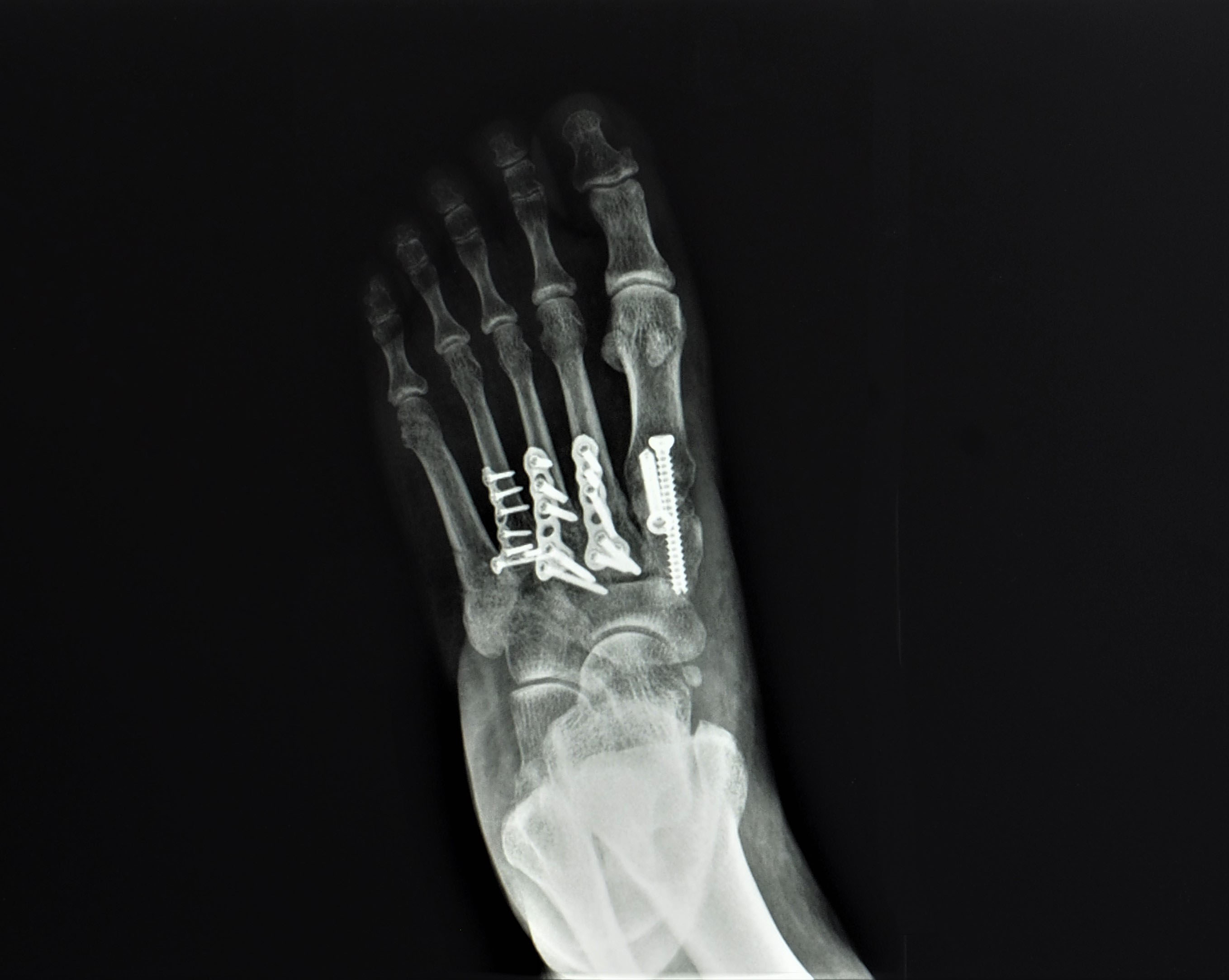
Stosowana dawniej przezskórna (bez rozcinania skóry i bezpośredniego dostępu do stawu) stabilizacja drutami Kirschnera obecnie jest już stosowana w wyjątkowych sytuacjach. Udowodniono, że przy zastosowaniu tej metody nie jest możliwe osiągnięcie prawidłowego nastawienia kości. Dlatego obecnie stosuje się leczenie na otwarto, z możliwością wizualnej kontroli ustawienia. W zależności od stopnia uszkodzenia stawu Lisfranca stosuje się jedno, dwa lub trzy cięcia skórne. Po nastawieniu kości należy je ustabilizować za pomocą płytek, śrub lub grotów Kirschnera.

