Dodatkowa kość łódkowata
W większości przypadków wada nie daje żadnych dolegliwości, a jej wykrycie jest przypadkowe w trakcie prześwietlenia stopy z innych powodów. Jednakże u niektórych osób w okresie dojrzewania może pojawić się wyczuwalny po stronie przyśrodkowej stępu guz. Bywa on bolesny i może powodować trudności w doborze obuwia. Rozpoznanie stawia się na podstawie badania radiologicznego.
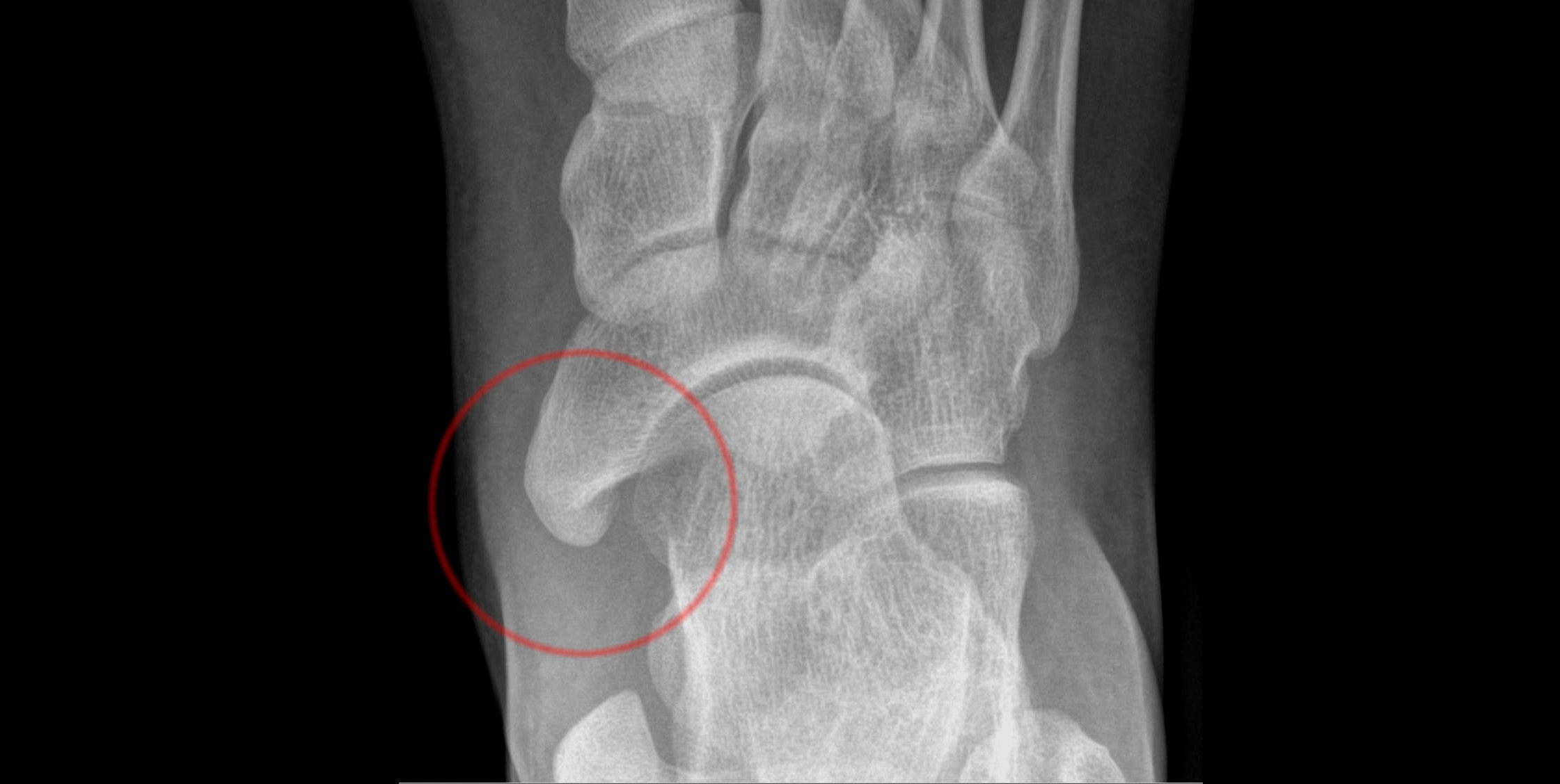
Rozróżnia się trzy typy tej wady:
- Typ I – przeważnie asymptomatyczny. To niewielkiego rozmiaru kostka dodatkowa położona ku tyłowi.
- Typ II – wyraźna kostka dodatkowa w przedłużeniu kości łódkowatej.
- Typ III – przerośnięta kość łódkowata układająca się w kształt rogu.
W przypadkach objawowej kości łódkowatej dodatkowej podstawowym elementem postępowania jest fizykoterapia oraz modyfikacja obuwia w celu zlikwidowania miejscowego obcierania i podrażniania tkanek. Niekiedy zalecane jest również czasowe unieruchomienie kończyny w opatrunkach gipsowych, ze względu na ryzyko występowania odczynów zapalnych, które wywoływane są przez ucisk kości.

