Deformacje stóp typu bunionette – korekcje
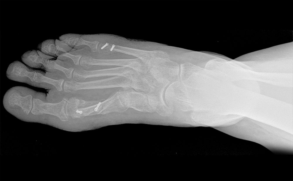
Leczenie operacyjne deformacji stóp typu bunionette stosuje się w przypadku dużych objawowych deformacji bocznej części głowy V kości śródstopia. Zabiegi wykonywane są w celu zwężenia stopy po stronie bocznej, aby zlikwidować drażnienie tkanek miękkich tej okolicy i aby tym samym ustąpiły dolegliwości bólowe.
Forma leczenia operacyjnego dobierana jest w zależności od typu deformacji. Stosowane jest ścięcie bocznego fragmentu głowy V kości śródstopia lub osteotomia (przecięcie) V kości śródstopia. Przecięcie można wykonać w okolicy podgłowowej (typy Chevron, Weil) lub w obrębie trzonu. Po przecięciu kości wykonuje się przesunięcie głowy 5 kości śródstopia w kierunku przyśrodkowym oraz zespolenie za pomocą implantu. Należy również wykonać plastykę tkanek miękkich w obrębie stawu śródstopno-palcowego palca V.
Dodatkowo, w niektórych przypadkach możliwe jest leczenie miniinwazyjne deformacji bunionette. Za pomocą niewielkich cięć skórnych dokonuje się przecięcia V kości śródstopia oraz usuwa się nadmiar bocznej części głowy tej kości.

